Πηγή Πληροφορίας:
Δρ Παρμενίων Ζησόπουλος Μαιευτήρας- Χειρούργος Γυναικολόγος
Η γενική κυτταρολογική εικόνα
Το κολπικό επιθήλιο της γυναίκας κατά την αναπαραγωγική ηλικία αποτελείται από τις παρακάτω στιβάδες κυττάρων:
•την επιφανειακή(επί πολλής)
•την διάμεση
•την παραβασική και
•την βασική στιβάδα
•Τα όρια μεταξύ των στιβάδων είναι ρευστά.
Πέρα από τα κύτταρα των προαναφερθέντων στιβάδων, υπάρχουν και άλλα στοιχεία, που διαμορφώνουν την γενική εικόνα, όπως:
•Πολυμορφοπύρηνα.
•Λεμφοκύτταρα
•Ιστιοκύτταρα(σπάνια)
•Πλασμοκύτταρα(σπάνια)
•Κύτταρα ενδοτραχήλου
•Κύτταρα ενδομητρίου
•Κύτταρα ωοθηκών(πολύ σπανιο)
•Φυσιολογική και παθολογική χλωρίδα
Τα κύτταρα της επιφανειακής στιβάδος

•Πλακώδη επιθηλιακά κύτταρα, με σχέση πυρήνα-κυτταροπλάσματος περίπου 1:100.
•Οξεόφιλα ή βασεόφιλα, ανάλογα με την ορμονική κατάσταση.
Ανάλογη με την οιστρογονική επίδραση, είναι και ο βαθμός καρυοπύκνωσης.

•Επίσης, σε περιπτώσεις υψηλής οιστρογoνικής επίδρασης, εμφανίζεται μικρή άλω γύρω από τον πυρήνα.
•Αυτή δεν πρέπει να συγχέεται με κοιλοκυττάρωση από HPV, ή με την άλω που προξενούν οι τριχομονάδες.

H κοιλοκυττάρωση που οφείλεται σε HPV, καταλαμβάνει όλοσχεδον το κυτταρόπλασμα

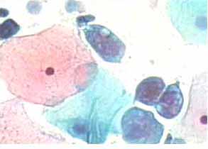
Τα διάμεσα κύτταρα εμφανίζονται στο επίχρισμα κατα Papanicoloau βασεόφιλα. Σχέση πυρήνα προς κυτταρόπλασμα 1:10: Δεξιά επιφανειακό κύτταρο, προς τα αριστερά, διάμεσα κύτταρα. Η οξεοφιλία σε δυο από αυτά οφείλεται σε εκφυλιστικές αλλοιώσεις

Κυρίως διάμεσα κύτταρα, σε περίπτωση αρχομένης ατροφίας επιθηλίου

Σε περιπτώσεις πιο προχωρημένης ατροφίας, ο πυρήνας των διαμέσων κυττάρων εμφανίζεται πυκνώτερος. Πρόκειται για εκφυλιστική αλλοίωση. Το ίδιο συμβαίνει και με τα παραβασικά. Διάμεσα και παραβασικά σε χρώση με bleu de methylen

Διάμεσα και παραβασικά σε χρώση bleu de methylen. Ατροφία, εκφυλιστικές αλλοιώσεις πυρήνων.
Μεγέθυνση 10Χ40

Αμηνόρροια γαλουχίας. Ατροφία επιθηλίου με παρουσία κυττάρων όλων των στιβάδων

Ατροφία επιθηλιου, ομάδα παραβασικών κυττάρων. Μεγέθυνση 10Χ40

Διάμεσα και παραβασικά κύτταρα, με κενοτόπια. Μεγέθυνση 10Χ40

Κύτταρα της επιφανειακής και παραβασικής στιβάδος. Κενοτόπια στα παραβασικά. Μεγέθυνση 10Χ40

Ατροφία επιθηλίου Eπάνω και στο μέσον: Διάμεσα και παραβασικά κύτταρα.
Κάτω: Εκσεσημασμενη ατροφία, βασικά και παραβασικά κύτταρα

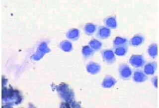
Ομάδα κυττάρων ενδοτραχήλου

Κύτταρα ενδοτραχήλου

Κύτταρα ενδομητρίου
