default_mobilelogo

Πηγή Πληροφορίας:

 

Δρ Παρμενίων Ζησόπουλος

Μαιευτήρας- Χειρούργος Γυναικολόγος

Χρυσοστόμου Σμύρνης 8, 4ος όροφος ,

Τηλ. : (2310) 279-272

Fax : (2310) 257-369 Τ.Κ. 54622,

 www.gyn.gr

email: parmenio@otenet.gr

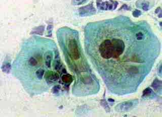
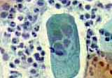
Ασυμπτωματική ασθενής 42 ετών και κυκλο 28-30 ημερών προσέρχεται γιαπροληπτική εξέταση. pH κόλπου 5. Μικροσκοπική εξέταση νωπού παρασκευάσματος σε αντίθετες φάσεις φωτός: Η φυσιολογική χλωρίδα λε.ίπει. Αρραιή παρουσία βακτηριδίων και κόκκων. Κολποσκόπιση: Στην δοκιμασία οξικού οξέως χωρίς ευρήματα. Στην δοκιμασία με Lugol μειωμένη, ομοιογενής όμως πρόσληψη χρωστικής από το επιθήλιο του τραχήλου. Ακολουθούν εικόνες από επιχρίσματα, που ελήφθησαν ανά τρίμηνο για διάστημα 2 ετών (1997-1998), με κυτταρολογικές αλλοιώσεις που συνηγορούν για προσβολή του τραχήλου της μήτρας από έρπητα.

Back
1_pict_jpeg
1_pict_jpeg
2_pict_jpg
2_pict_jpg
3_pict_jpeg
3_pict_jpeg
4_pict_jpeg
4_pict_jpeg
5_pict_jpeg
5_pict_jpeg
6_pict_jpeg
6_pict_jpeg
7_pict_jpeg
7_pict_jpeg
8_pict_jpeg
8_pict_jpeg
9_pict_jpeg
9_pict_jpeg
10_pict_jpeg
10_pict_jpeg
11_pict_jpeg
11_pict_jpeg
12picture_jpeg
12picture_jpeg
13pict_jpeg
13pict_jpeg
 
 
Powered by Phoca Gallery