Υποτροπές κυτταρολογικών ατυπιών ερπητικής αιτιολογίας, με συμπτωματολογία κολπίτιδας
Πηγή Πληροφορίας:
Δρ Παρμενίων Ζησόπουλος
Μαιευτήρας- Χειρούργος Γυναικολόγος
Χρυσοστόμου Σμύρνης 8, 4ος όροφος ,
Τηλ. : (2310) 279-272
Fax : (2310) 257-369 Τ.Κ. 54622,
www.gyn.gr
email: parmenio@otenet.gr
Μακροχρονια παρακολούθηση (13 χρόνια)
Περίληψη:
Κυτταρολογικές ατυπίες ερπητικής αιτιολογίας στο επίχρισμα κατά Papanicolaou, είναι σχετικά σπάνιο τυχαίο ευρημα σε ασυπτωματικές γυναίκες , ή εύρημα που εμφανίζεται σε περιστατικά υποτροπών συμπτωματολογίας κολπίτιδας..
Από πλευράς διαφορικής διάγνωσης παρουσιάζει ενδιαφέρον, επειδή μπορεί να συνυπάρχει με κυτταρολογικές αλλοιώσεις προσβολής από HPV, ή να συγχέεται με αυτές. Πρακάτω παρουσιάζουμε μία περίπτωση γυναικός, που παρακολουθήσαμε επί 13 χρόνια..
Κυτταρολογικές ατυπίες ερπητικής αιτιολογίας στο επίχρισμα κατά Papanicolaou, είναι σχετικά σπάνιο τυχαίο εύρημα σε ασυπτωματικές γυναίκες , ή ευρημα που εμφανίζεται σε περιστατικά υποτροπών συμπτωματολογίας κολπίτιδας..
Από πλευράς διαφορικής διάγνωσης παρουσιάζει ενδιαφέρον, επειδή μπορεί να συνυπάρχει με κυτταρολογικές αλλοιώσεις προσβολής από HPV, ή να συγχέεται με αυτές. Παρακάτω παρουσιάζουμε μία περίπτωση γυναικός, που παρακολουθήσαμε επί 13 χρόνια..
Ασθενής ΜΠ. Μ. έτος γέννησης 1957
16.1.1997 Προσήλθε στο ιατρείο μας α΄φορά . Έχει ένα φυσιολογικό Pap-test τον Ιαν 1996 και τον Δεκ 1996 έδιξε CIN 1. Apo τον Aπρίλιο 1996 πρόβλημα λευκόρροιας με κνησμό. Bελτιώσεις για μικρό χρονικό διάστημα. Tην α΄φορά της είπαν ότι πρόκειται για μύκητες. Πήρε πολλά υπόθετα και χάπια.
Xρησιμοποιησε κατά καιρους Begalin, Sultrin, Betadine, Pevaryl, Vibramycin, Daktarin, Flagyl, Travogen. Fungostatin.
Eκανε κολποσκόπηση στο Iπποκάατειο και της είπαν ότι έχει φλεγμονή. Eξέταση κοπράνων για οξυούρους αρνητική
.Στην γυναικολογική μας εξέταση, στην κολποσκόπιση, καθώς και στο Papanicoalou-test, τα ευρήματα ήταν φυσιολογικά.
31.1.1997 Κολποσκοπικός και κυτταρολογικός έλεγχος: Papanicolaou και κολποσκόπιση, χωρίς ατυπίες.. Λόγω του παλαιού κυτταρολογικού ευρήματος CIN 1, επανέλεγχος βραχυπρόθεσμα στις 2.4.1997, όπου, εκτος από την παρουσία λίγων ψευδομυκητηλίων, όλα τα ευρήματα ήταν και παλι φυσιολογικά.
17.11.2000 επανέρχεται μετά από διάστημα 3ετίας . Στο ενδιάμεσο διάστημα 3-4 φορές το χρόνο ενοχλήματα κολπίτιδας που υποχωρούν προσωρινά με Daktarin vag. sup. Στην συνήθη προληπτική εξέταση (Γυν. εξέταση, κολποσκόπιση, μέτρηση του pH, μικροσκοπική εξέταση νωπού παρασκευάσματος κολπικού εκκρίματος Pap-test και διακολπική υπερηχοχογραφία: Όλα τα ευρήματα κφ.)
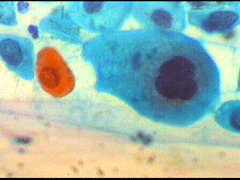
6.9.2002 Μετά από πάροδο διετίας επανέρχεται για προληπτικό έλεγχο.. Στο ιστορικό μικρο-υποτροπές κολπίτιδας, που ξεπερνούσε παροδικά με 3ήμερη χρήση Daktarin vag. supp. Το κολποσκοπικο εύρημα ήταν φυσιολογικό, ωστόσο το κυτταρολογικό επίχρισμα εμφάνιζε την τυπική πολυμορφία ερπητικών αλλοιώσεων.
4.3.2003 Ελεγχος Papanicolaou-test: Φυσιολογικά ευρήματα ..
Στις 4.11.2004 και
4.8.2005 σε 2-3 οπτικά πεδία κυτταρολογικές ατυπίες που συνηγορούν για ερπητικές αλλοιώσεις ..
Στις 31.5.2007 και 24-6-2008 Φυσιολογικα κυτταρολογικά ευρήματα .
Στις 27.4.2010 εκ νέου σποραδική διακριτική κοιλοκυτταρική ατυπία και χαρακτηριστικές ατυπίες πυρηνων, που συνηγορούν, σε συνάρτηση με το ιστορικό, για ερπητικές αλλοιώσεις.
17.6.2010 Εξέταση για ταυτοποίηση στελεχών HPV (Noσ. Παπαγεωργιου, Θεσσαλονίκη) : Δεν ανιχνεύθηκαν στελέχη HPV

