Πινακοθήκη - Δυσπλασίες τραχήλου μήτρας σοβαρού βαθμού II
Πηγή Πληροφορίας:
Δρ Παρμενίων Ζησόπουλος
Μαιευτήρας- Χειρούργος Γυναικολόγος
Χρυσοστόμου Σμύρνης 8, 4ος όροφος ,
Τηλ. : (2310) 279-272
Fax : (2310) 257-369 Τ.Κ. 54622,
www.gyn.gr
email: parmenio@otenet.gr
Μανουσ. Μ. Έτος γεν. 1964
Σε μας από το 2001.. Εν μέρει ιαθείσα εκτοπία πολυτόκου (3 φτ. ) .. Απο πάντα σχετική υπερπλασία ενδομητρίου (ενδομήτριο πάχους 15-16χιλ )... Στις 14 Δεκ 2004 διαπιστώνεται κολποσκοπικώς για πρωτη φορά περιοχή διαμέτρου περιπου 1 τ. εκ. στο προσθιο χειλος, με εικονα διακριτικού μωσαϊκού στην περιφέρεια.. Το Papanicolaou -test δίνει τα πρώτα στοιχεία δυσπλασίας, επισκιασμένα με εικόνα φλεγμονής βακτηριδιακής αιτιολογιας. Μετα από τοπική θεραπεία με Sultrin ακολουθεί επανεξέταση στην 19.1.2005
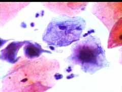
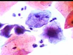
Papanicolaou: Πλακώδη επιθηλιακά κύτταρα κυρίως της επιφανειακήςστιβάδας, περίπου κατά50% και πλέον οξεόφιλα (16η ημέρα κύκλου!) . Ωστόσσο και αρκετά της διαμέσου και της παραβασικής, εν μέρει με διογκωμένους, ανισομεγέθειςαρραιοχρωματικούςδιαυγείςπυρήνεςKοιλοκυττάρωση.Η εικόνα συνηγορεί για δυσπλασία σοβαρού βαθμού.
Λόγω και του κολποσκοπικούευρήματος, μικροβιοψία που κατεδειξε ιστολογικώς CIN III
H γυναικα υπεβλήθη σε κωνοειδή εκτομή σε Νοσοκομείο... Επρόκειτο ιστολογικώς για CIN III που αφαιρεθηκε εντός του υγιούς..

