default_mobilelogo

Πηγή Πληροφορίας:

 

Δρ Παρμενίων Ζησόπουλος

Μαιευτήρας- Χειρούργος Γυναικολόγος

Χρυσοστόμου Σμύρνης 8, 4ος όροφος ,

Τηλ. : (2310) 279-272

Fax : (2310) 257-369 Τ.Κ. 54622,

 www.gyn.gr

email: parmenio@otenet.gr

Aσθενής 45 ετών, με γνωστή παρουσία πολλαπλών κύστεων και στους δύο μαστούς εδώ και πολλά χρόνια.. Επώδυνη κύστη διαμέτρου 4 εκ. στον αριστερό μαστό. Κάτω από υπερηχογραφικό έλεγχο παρακέντηση και αφαίρεση περίπου 20 κ. εκ. κιτρινωπού υγρού.

Back
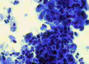
Ομάδες ομοιόμορφων  κυττάρων τοιχώματος κύστης μαστού. Πολυμορφοπύρηνα..
Ομάδες ομοιόμορφων κυττάρων τοιχώματος κύστης μαστού. Πολυμορφοπύρηνα..
Ομάδες ομοιόμορφων  κυττάρων τοιχώματος κύστης μαστού. Πολυμορφοπύρηνα..
Ομάδες ομοιόμορφων κυττάρων τοιχώματος κύστης μαστού. Πολυμορφοπύρηνα..
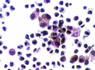
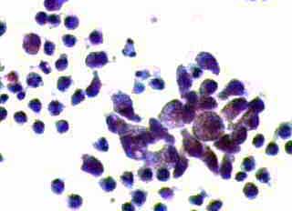
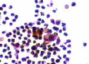
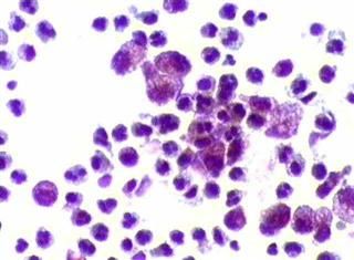
Kύτταρα τοιχώματος κύστης μαστού. Αφρώδη κύτταρα, άφθονα πολυμορφοπύρηνα
Kύτταρα τοιχώματος κύστης μαστού. Αφρώδη κύτταρα, άφθονα πολυμορφοπύρηνα
Kύτταρα τοιχώματος κύστης μαστού. Αφρώδη κύτταρα, άφθονα πολυμορφοπύρηνα.
Kύτταρα τοιχώματος κύστης μαστού. Αφρώδη κύτταρα, άφθονα πολυμορφοπύρηνα.
Kύτταρα τοιχώματος κύστης μαστού. Αφρώδη κύτταρα, άφθονα πολυμορφοπύρηνα.
Kύτταρα τοιχώματος κύστης μαστού. Αφρώδη κύτταρα, άφθονα πολυμορφοπύρηνα.
Kύτταρα τοιχώματος κύστης μαστού. Αφρώδη κύτταρα, άφθονα πολυμορφοπύρηνα.
Kύτταρα τοιχώματος κύστης μαστού. Αφρώδη κύτταρα, άφθονα πολυμορφοπύρηνα.
Άμεση χρώση στεγνών παρασκευασμάτων, χωρίς μονιμοποίηση, κατά Papanicolaou και με  bleu de methylen.
Άμεση χρώση στεγνών παρασκευασμάτων, χωρίς μονιμοποίηση, κατά Papanicolaou και με bleu de methylen.
 
 
Powered by Phoca Gallery