Κυτταρολογικός ελεγχος έρπητος τραχήλου της μητρας . Παρακολούθηση περιστατικού επί 15ετία. Μέρος 1B. Ευρήματα 1993 .
Πηγή Πληροφορίας:
Δρ Παρμενίων Ζησόπουλος
Μαιευτήρας- Χειρούργος Γυναικολόγος
Χρυσοστόμου Σμύρνης 8, 4ος όροφος ,
Τηλ. : (2310) 279-272
Fax : (2310) 257-369 Τ.Κ. 54622,
www.gyn.gr
email: parmenio@otenet.gr
Περιστατικό ασθενούς που παρακολουθείται στο ιατρείο μας από το 1993, τότε ηλικίας 37 ετών, αρχικά λόγω ασυμπατωματικού κυτταρολογικά εμμένοντας έρπητος τραχήλου της μήτρας. Το γεγονός αυτό μας οδήγησε στην διερεύνηση της περιπτώσεως. Η ασθενής επασχε από A.I.D.S.
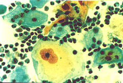
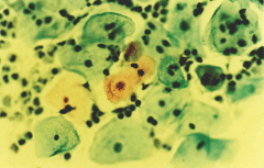
Είχαμε την ευκαρία να παρακολουθήσουμε ανά 6μηνο γυναικολογικά, κολποσκοιπικά και κυτταρολογικά την γυναίκα από το 1993 μεχρι και το 2008. Από τις εξετασεις αυτές, παρουσιάζουμε χαρακτηριστικές κυτταρολογικές εικόνες . Όι παρακάτω κυτταρολογικές εικονες προέρχονται από την 2η κατά σειρά εξέταση της ασθενούς το 1993. Οι κυτταρολογικές αλλοιώσεις ερπητος συνεχίζουν να υφίστανται.
Ταση γιγαντιοκυττάρωσης όλων των επιθηλιακώ στοιβάδων, κοιλοκυττάρωση, διογκωμένοι υπερχρωματικοί και ανισομεγέθεις πυρήνες , με διάλυση δομής χρωματίνης, συχνά διογκωμενοι πυρήνες με εικόνα φαινομένου ΄΄θολού γυαλιού΄΄

