default_mobilelogo

Πηγή Πληροφορίας:

 

Δρ Παρμενίων Ζησόπουλος

Μαιευτήρας- Χειρούργος Γυναικολόγος

Χρυσοστόμου Σμύρνης 8, 4ος όροφος ,

Τηλ. : (2310) 279-272

Fax : (2310) 257-369 Τ.Κ. 54622,

 www.gyn.gr

email: parmenio@otenet.gr

 

Περιστατικό  Β.

Ενδοτραχηλικά κύτταρα  στο κυτταρολογικό επίχρισμα κατά  Papanicolaou  είναι συχνά  αιτία   διαγνωστικών επεμβάσεων.

Ασθενής Β.Π.,  ηλικίας  58 ετών, στην εμμηνόπαυση  από  10ετίας. 

Προληπτική εξέταση.  Φυσιολογικά κολποσκοπικά ευρήματα. .

Κυτταρολογική εικόνα σχετικά   καλής ανάπλασης επιθηλίου, με παρουσία κυττάρων κυρίως της επιφανειακής  και διαμέσου  στοιβάδας,  καθώς και   λίγα παραβασικά.   Περιπυρηνική άλω, ( όχι τυπική  κοιλοκυττάρωση)  σε αρκετά διάμεσα  και  παραβασικά κύτταρα,  καθώς και λίγα   πολυμορφοπύρηνα.

ηλικά κύτταρα  στο κυτταρολογικό επίχρισμα κατά  

Ασθενής Β.Π.,  ηλικίας  58 ετών, στην εμμηνόπαυση  από  10ετίας. 

Προληπτική εξέταση.  Φυσιολογικά κολποσκοπικά ευρήματα. .

Κυτταρολογική εικόνα σχετικά   καλής ανάπλασης επιθηλίου, με παρουσία κυττάρων κυρίως της επιφανειακής  και διαμέσου  στοιβάδας,  καθώς και   λίγα παραβασικά.   Περιπυρηνική άλω, ( όχι τυπική  κοιλοκυττάρωση)  σε αρκετά διάμεσα  και  παραβασικά κύτταρα,  καθώς και λίγα   πολυμορφοπύρηνα.

Ενδοτραχηλικά  κύτταρα   καθ΄   ομάδας, σε ένα  οπτικό πεδίο  εικόνα  ‘’Acinus’’..  Τα ενδοτραχηλικά  κύτταρα με αρραιοχρωματικούς,  αλλά ελαφρά  ανισομεγέθεις  πυρήνες, ίσως φλεγμονώδους  αιτιολογίας (;) 

 Για τους  παραπάνω  λόγους  διενεργήθηκε    το 2003   διαγνωστική  απόξεση. Ιστολογικό  πόρισμα:  Ατροφικό ενδομήτριο.

Τελευταίος προληπτικός  έλεγχος  Φεβρουάριος. 2008. Όλα   τα ευρήματα φυσιολογικά

Back
Επιφανειακά και διάμεσα πλακώδη επιθηλικά κύτταρα με ευρ΄΄υτερη περιπυρηνική άλω, όχι πολύ τυπική για κοιλοκυττάρωση
Επιφανειακά και διάμεσα πλακώδη επιθηλικά κύτταρα με ευρ΄΄υτερη περιπυρηνική άλω, όχι πολύ τυπική για κοιλοκυττάρωση
Εικόνα ''Acinus;
Εικόνα ''Acinus;
Aδενικά κυτταρα ενδοτραχήλου
Aδενικά κυτταρα ενδοτραχήλου
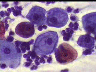
Αδενικά κύτταρα ενδοτραχήλου. με ελαφρώς ανισομεγέθεις πυρήνες.
Αδενικά κύτταρα ενδοτραχήλου. με ελαφρώς ανισομεγέθεις πυρήνες.
Επιφανειακά και διάμεσα πλακώδη επιθηλικά κύτταρα
Επιφανειακά και διάμεσα πλακώδη επιθηλικά κύτταρα
Αδενικά κύτταρα ενδοτραχήλου. με ελαφρώς ανισομεγέθεις πυρήνες
Αδενικά κύτταρα ενδοτραχήλου. με ελαφρώς ανισομεγέθεις πυρήνες
 
 
Powered by Phoca Gallery