default_mobilelogo

Πηγή Πληροφορίας:

 

Δρ Παρμενίων Ζησόπουλος

Μαιευτήρας- Χειρούργος Γυναικολόγος

Χρυσοστόμου Σμύρνης 8, 4ος όροφος ,

Τηλ. : (2310) 279-272

Fax : (2310) 257-369 Τ.Κ. 54622,

 www.gyn.gr

email: parmenio@otenet.gr

Ασθενής  Νακ. Θ.   56 ετών. Μαστεκτομή δεξιά τον  Aπρ.   2000,  μετά από δικό μας  υπερηχογραφικό  ευρημα σε προληπτική εξεταση. . Η τελευταία μαστογραφία  Νοεμ 2008 στο Νοσοκομείο.  Μετά την επέμβαση ,με βάση την ιστολογική εξέταση,  δεν  θεωρήθηκε καμία θεραπεία αναγκαία (τόσο από τον ειδικό Χειρουργό μαστού, όσο κι από τον Ογκολόγο )

THN EIΔA TON IANOYAPIO 2003  KAI HTAN OΛA EN TAΞEI.

ΜΑΙΟΣ  2003:  ΠPO 4-5  HMEPΩN ΔIEΠIΣTΩΣE AΠO THN MIA MEPA ΣTHN AΛΛH EΆΦPΩΣ EΠΩΔYNO ΕΠAPMA, ΠEIPΠOY 3 ΔAKTYΛA ANΩ THΣ TOMHΣ. ΠPOΣHΛΘE ΓIA TON ΛOΓO AYTΌ.

ΠPAΓMATI,  KAΠΩΣ ΚINHTO HΨΛAΦHTO KAI  OPATO EΠAPMA, YΠPHXOΓPAΦIKΩΣ ME ΣAΦH  ΠEPIXAPAKΩΣH. EΛIΨOEIΔEΣ, MEΓIΣTHΣ ΔIAMETPOY 8 XIΛ.

ΠPOEKEIMENOY NA ΔIAΠIΣTΩΘEI AN  ΠPOKETAI ΓIA KYΣTH, ΠAPAKΈNTHΣH  ΛEΠTHΣ BΛEONHΣ. ΠPOKETAI ΓIA  ΣYMΠAΓH ΣXHMATIΣMO. ETΣΙ ΚΙ ΑΛΛΟΙΩΣ,  ΠΡΕΠΕΙ Ν΄ ΑΦΑΙΡΕΘΕΊ.

Το ελάχιστο υλικό, επιστρώνεται  σε αντικειμενοφόρο  πλάκα, στεγνώνει στον αέρα και  βάφεται κατά Papanicolaou . Δείγμα  από τις  κυτταρολογικές  εικόνες

 Η  ασθενής  ξαναχειρουργήθηκε , ακτινοβολήθηκε και έκτοτε είναι  σε  Herseptin. Την  είδα τον Δεκ. 2007. Η γενική, η   γυναικολογική  και  η  τοπική κατάσταση  καλή.

Back
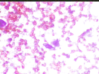
Ανάμεσα σε άφθονα ερυθρά αιμοσφαίρια, ατυπα αδενικά κύτταρα, με διογκωμένους, ανισομεγέθεις πυρήνες, με διαταραχή της χρωματίνης. Υπόνοια για τοπική υποτροπή αδενοκαρκινώματος μαστού .
Ανάμεσα σε άφθονα ερυθρά αιμοσφαίρια, ατυπα αδενικά κύτταρα, με διογκωμένους, ανισομεγέθεις πυρήνες, με διαταραχή της χρωματίνης. Υπόνοια για τοπική υποτροπή αδενοκαρκινώματος μαστού .
Ανάμεσα σε άφθονα ερυθρά αιμοσφαίρια, ατυπα αδενικά κύτταρα, με διογκωμένους, ανισομεγέθεις πυρήνες, με διαταραχή της χρωματίνης. Υπόνοια για τοπική υποτροπή αδενοκαρκινώματος μαστού .
Ανάμεσα σε άφθονα ερυθρά αιμοσφαίρια, ατυπα αδενικά κύτταρα, με διογκωμένους, ανισομεγέθεις πυρήνες, με διαταραχή της χρωματίνης. Υπόνοια για τοπική υποτροπή αδενοκαρκινώματος μαστού .
Ανάμεσα σε άφθονα ερυθρά αιμοσφαίρια, ατυπα αδενικά κύτταρα, με διογκωμένους, ανισομεγέθεις πυρήνες, με διαταραχή της χρωματίνης. Υπόνοια για τοπική υποτροπή αδενοκαρκινώματος μαστού .
Ανάμεσα σε άφθονα ερυθρά αιμοσφαίρια, ατυπα αδενικά κύτταρα, με διογκωμένους, ανισομεγέθεις πυρήνες, με διαταραχή της χρωματίνης. Υπόνοια για τοπική υποτροπή αδενοκαρκινώματος μαστού .
Ανάμεσα σε άφθονα ερυθρά αιμοσφαίρια, ατυπα αδενικά κύτταρα, με διογκωμένους, ανισομεγέθεις πυρήνες, με διαταραχή της χρωματίνης. Υπόνοια για τοπική υποτροπή αδενοκαρκινώματος μαστού .
Ανάμεσα σε άφθονα ερυθρά αιμοσφαίρια, ατυπα αδενικά κύτταρα, με διογκωμένους, ανισομεγέθεις πυρήνες, με διαταραχή της χρωματίνης. Υπόνοια για τοπική υποτροπή αδενοκαρκινώματος μαστού .
 
 
Powered by Phoca Gallery