Παρακεντήσεων ευρημάτων καρκίνου του μαστου. ΙΙ
Πηγή Πληροφορίας:
Δρ Παρμενίων Ζησόπουλος
Μαιευτήρας- Χειρούργος Γυναικολόγος
Χρυσοστόμου Σμύρνης 8, 4ος όροφος ,
Τηλ. : (2310) 279-272
Fax : (2310) 257-369 Τ.Κ. 54622,
www.gyn.gr
email: parmenio@otenet.gr
Aσθενής T.E., ετών 47, προσέρχεται το 1998 για α΄φορά στο ιατρείο μας, επειδή κάτι ψηλαφά στον μαστό.
Κατά την κλινικο - υπερηχογραφική διερεύνηση μεταξύ κάτω έξω και κάτω έσω 4μοριου στον δεξιό μαστό. σχετικώς κινητό οζίδιο διαμέτρου 13 χιλ
Yπερηχογραφικώς καλοήθης εικόνα, όπως σε ιναδένωμα
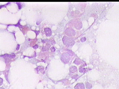
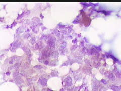
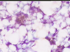
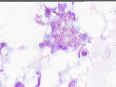
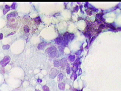
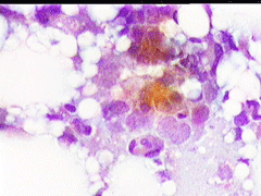
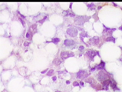
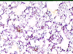
Η παρακέντηση λεπτής βελόνης επιβεβαιώνει τη διάγνωση συμπαγούς μορφώματος. Το ελάχιστο υλικό επιστρώνεται σε αντικειμενοφόρο πλάκα, στεγνώνει στον αέρα με και βάφεται κατά Papanicolaou.
Δείγμα μικροσκοπικών εικόνων:

