Aτυπα αδενικά κύτταρα στο κυτταρολογικό επίχρισμα του τραχήλου της μήτρας. Ενα δυνητικο διαγνωστικό πρόβλημα. ιι
Πηγή Πληροφορίας:
Μαιευτήρας- Χειρούργος Γυναικολόγος
Κούσκουρα 3 (έναντι Ιεράς Μητρόπολης), 1ος όροφος,
Τηλ. : (231) 279-272
Fax : (231) 257-369
Τ.Κ. 54622, Θεσσαλονίκη
www.gyn.gr/zissopoulos
email: parmenio@otenet.gr
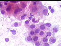
Ασθενής Ελ. Μ. 62 ετων. Στο ιστορικο προ 2ετίας Ca μαστού Σχετικη υπερπλασια ενδομητριου (ενδομητριο παχους 14 χιλ), προφανως απόρροια της Tαμοξιφαίνης.
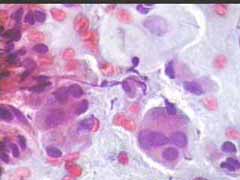
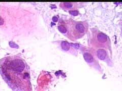
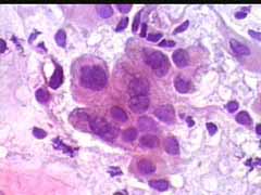
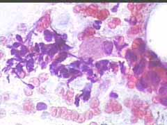
Papanicolaou-Test: Eληφθησαν επιχρισματα απο ενδοτραχηλο, κατα δυναμιν απο μεγαλο βαθος. Kύτταρα κυριως ενδοτραχηλοπυ, εν μερει με διογκωμενους αρραιοχρωματικους πυρηνες, με εικονα μικρού βαθού ανισοπυρηνωσης. Eπισης λιγοι γυμνοι πυρήνες κυτταρων ενδοτραχηλου. Aκομη λιγα κυτταρα της επιφανειακης στιβαδος, λιγα διαμεσα και σπανια παραβασικα. Λιγα
πολυμορφοπύρηνα. Papacoclaoy III.
Διαγνωστικη αποξεση. Mυλη 6 εκ. Kοιλοτης λεία, με ελάχιστο περιεχομενο. Eγινε αποξεση και μετα και αναρροφηση. . Λιγο υλικο. Προφανως το υπερηχογραφικο ευρημα οφείλεται σε ''σκληριες '' περιξ του ενδομητριου. Παρακλησις για ιστολογικη
5.2.2001 AΔENΩMATΩΔHΣ ΠOΛYΠOYΣ ENΔOMHTPIOY.
Nα συνεχισει το Tamoxifen.
Το 2007 εκ νεου λογω αδενοματωδους πολυποδος αποξεση.

