default_mobilelogo

Πηγή Πληροφορίας:

 

Δρ Παρμενίων Ζησόπουλος

Μαιευτήρας- Χειρούργος Γυναικολόγος

Κούσκουρα 3 (έναντι Ιεράς Μητρόπολης), 1ος όροφος,

Τηλ. : (231) 279-272
Fax : (231) 257-369

Τ.Κ. 54622, Θεσσαλονίκη

www.gyn.gr/zissopoulos

email: parmenio@otenet.gr

Ασθενής  Ελ. Μ.  62  ετων. Στο ιστορικο προ 2ετίας  Ca μαστού    Σχετικη υπερπλασια ενδομητριου (ενδομητριο παχους 14 χιλ), προφανως απόρροια της Tαμοξιφαίνης.

Papanicolaou-Test:  Eληφθησαν επιχρισματα απο ενδοτραχηλο, κατα δυναμιν απο μεγαλο βαθος. Kύτταρα κυριως  ενδοτραχηλοπυ, εν μερει με διογκωμενους αρραιοχρωματικους πυρηνες,  με  εικονα μικρού βαθού  ανισοπυρηνωσης. Eπισης λιγοι γυμνοι πυρήνες κυτταρων ενδοτραχηλου.  Aκομη λιγα κυτταρα της επιφανειακης στιβαδος, λιγα διαμεσα και σπανια παραβασικα.  Λιγα
πολυμορφοπύρηνα. Papacoclaoy III.

Διαγνωστικη αποξεση. Mυλη 6 εκ. Kοιλοτης λεία, με ελάχιστο περιεχομενο. Eγινε αποξεση και μετα και αναρροφηση.  . Λιγο υλικο. Προφανως το υπερηχογραφικο ευρημα οφείλεται σε ''σκληριες '' περιξ του ενδομητριου.  Παρακλησις για ιστολογικη
5.2.2001 AΔENΩMATΩΔHΣ ΠOΛYΠOYΣ ENΔOMHTPIOY.
Nα συνεχισει το Tamoxifen.

Το 2007 εκ νεου  λογω αδενοματωδους πολυποδος αποξεση.

Back
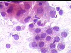
Ομάδα αδενικών κυττάρων με ανισοπυρήνωση
Ομάδα αδενικών κυττάρων με ανισοπυρήνωση
Ομάδα αδενικών κυττάρων με ανισοπυρήνωση
Ομάδα αδενικών κυττάρων με ανισοπυρήνωση
Ομάδα αδενικών κυττάρων με ανισοπυρήνωση
Ομάδα αδενικών κυττάρων με ανισοπυρήνωση
Ομάδα αδενικών κυττάρων με ανισοπυρήνωση
Ομάδα αδενικών κυττάρων με ανισοπυρήνωση
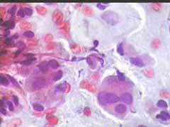
Ομάδα αδενικών κυττάρων με ανισοπυρήνωση, εικόνα σύντηξης
Ομάδα αδενικών κυττάρων με ανισοπυρήνωση, εικόνα σύντηξης
Ομάδα ανισομεγέθων αδενικών κυττάρων με σαφή ανισοπυρήνωση
Ομάδα ανισομεγέθων αδενικών κυττάρων με σαφή ανισοπυρήνωση
Ομάδα αδενικών κυττάρων με σαφή ανισοπυρήνωση
Ομάδα αδενικών κυττάρων με σαφή ανισοπυρήνωση
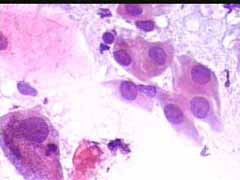
Ομάδα αδενικών και παραβασικών κυττάρων με ανισοπυρήνωση
Ομάδα αδενικών και παραβασικών κυττάρων με ανισοπυρήνωση
Ομάδα αδενικών κυττάρων με σαφή ανισοπυρήνωση
Ομάδα αδενικών κυττάρων με σαφή ανισοπυρήνωση
Ομάδα αδενικών κυττάρων με ανισοπυρήνωση
Ομάδα αδενικών κυττάρων με ανισοπυρήνωση
 
 
Powered by Phoca Gallery