Ιατρικές Εικόνές - Ο έρπης του τραχήλου της μήτρας στο κυτταρολογικό επίχρισμα
Πηγή Πληροφορίας:
Δρ Παρμενίων Ζησόπουλος
Μαιευτήρας- Χειρούργος Γυναικολόγος
Χρυσοστόμου Σμύρνης 8, 4ος όροφος ,
Τηλ. : (2310) 279-272
Fax : (2310) 257-369 Τ.Κ. 54622,
www.gyn.gr
email: parmenio@otenet.gr
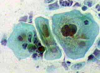
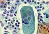
Ασυμπτωματική ασθενής 42 ετών και κυκλο 28-30 ημερών προσέρχεται γιαπροληπτική εξέταση. pH κόλπου 5. Μικροσκοπική εξέταση νωπού παρασκευάσματος σε αντίθετες φάσεις φωτός: Η φυσιολογική χλωρίδα λε.ίπει. Αρραιή παρουσία βακτηριδίων και κόκκων. Κολποσκόπιση: Στην δοκιμασία οξικού οξέως χωρίς ευρήματα. Στην δοκιμασία με Lugol μειωμένη, ομοιογενής όμως πρόσληψη χρωστικής από το επιθήλιο του τραχήλου. Ακολουθούν εικόνες από επιχρίσματα, που ελήφθησαν ανά τρίμηνο για διάστημα 2 ετών (1997-1998), με κυτταρολογικές αλλοιώσεις που συνηγορούν για προσβολή του τραχήλου της μήτρας από έρπητα.

