Ιατρικές Εικόνές - Εικόνες από ένα Ιατρείο: Οκτώβριος 2009. Χρώση με Cytocolor 1
Πηγή Πληροφορίας:
Δρ Παρμενίων Ζησόπουλος
Μαιευτήρας- Χειρούργος Γυναικολόγος
Χρυσοστόμου Σμύρνης 8, 4ος όροφος ,
Τηλ. : (2310) 279-272
Fax : (2310) 257-369 Τ.Κ. 54622,
www.gyn.gr
email: parmenio@otenet.gr
Στο ιατρείο μας διενεργούμε από ανέκαθεν την λήψη, χρωση κι άμεση μικροσκοπική εξεταση ενός επιχρίσματος κατά Papanicolaou. Για τον σκοπό αυτό εφαρμοζουμε την κλασική χρώση κατά Παπανικολάου και κατα τελευται 4 χρόνια επιπλέον και την χρώση Cytocolor της εταιρειας Merck , που διαρκεί μονον 4 λεπτά και δινει εντυπωσιακές εικόνες, ειδικά στην απεικόνιση των αδενικών κυττάρων. Τα παρακάτω περιστατικά είναι μία επίδειξη φυσιολογικών κυτταρολογικών εικόνων γυναικών στην εμμηνόπαυση και κλιμακτήριο..
Μπαστ. Ε. Ετος γεν. 1941. Ετησιες προληπτικες εξετάσεις σε μας από το 1995. Εμμηνόπαυση απο το 1995 _ Το 1999 ευρημα μαστου σε μας .. Εγινε βιοψία σε Νοσοκομειο. Ιστολογικη εξεταση αρνητική για κακοήθεια. Τη ξαναστείλαμε., επειδή το ύποπτο υπερηχογραφικο ευρημα παρέμενε. Ριζική μαστοεκτομη αριστερα το 2000(νεο μαστού), θεραπεια μόνον με Gynoplex.. Τώρα δεν ειναι σε αγωγή..
Εξέταση Οκτ. 2009
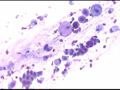
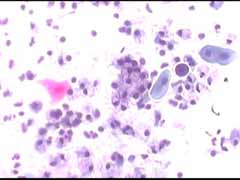
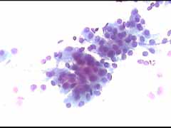
Papanicolaou. Τυπική εικόνα ατροφιας επιθηλίου με παρουσία κυτταρων κυρίως της παραβασικής και λιγότερο της διαμέσου στοιβάδος, με την αναμενόμενη πολυμορφία της ατροφίας του επιθηλίου και τις αναμενόμενες εκφυλιστικές αλλοιώσεις.. Αρκετά κύτταρα ενδοτραχήλου κατα μόνας και καθ΄ ομάδας.. Λιγα πολυμορφοπύρηνα. Αρνητικό για κακοήθεια..Φυσιολογικό για την ηλικία.

