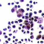
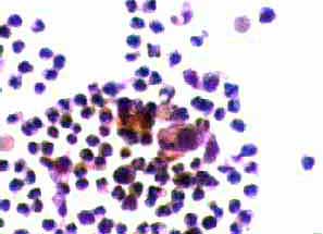
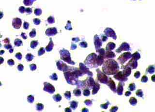
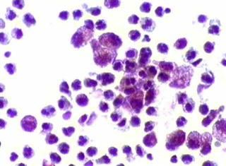
Ιατρικές Εικόνές - Φλεγμονής κύστεως μαστού
Πηγή Πληροφορίας:
Δρ Παρμενίων Ζησόπουλος
Μαιευτήρας- Χειρούργος Γυναικολόγος
Χρυσοστόμου Σμύρνης 8, 4ος όροφος ,
Τηλ. : (2310) 279-272
Fax : (2310) 257-369 Τ.Κ. 54622,
www.gyn.gr
email: parmenio@otenet.gr
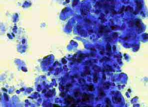
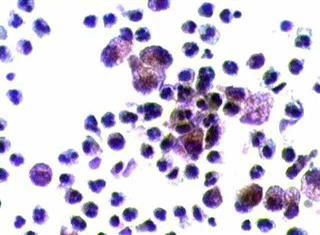
Aσθενής 45 ετών, με γνωστή παρουσία πολλαπλών κύστεων και στους δύο μαστούς εδώ και πολλά χρόνια.. Επώδυνη κύστη διαμέτρου 4 εκ. στον αριστερό μαστό. Κάτω από υπερηχογραφικό έλεγχο παρακέντηση και αφαίρεση περίπου 20 κ. εκ. κιτρινωπού υγρού.
Powered by Phoca Gallery

