Ιατρικές Εικόνές - Αδενικών κυττάρων στο κυτταρολογικό επίχρισμα
Πηγή Πληροφορίας:
Μαιευτήρας- Χειρούργος Γυναικολόγος
Κούσκουρα 3 (έναντι Ιεράς Μητρόπολης), 1ος όροφος,
Τηλ. : (231) 279-272
Fax : (231) 257-369
Τ.Κ. 54622, Θεσσαλονίκη
www.gyn.gr/zissopoulos
email: parmenio@otenet.gr
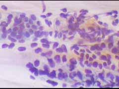
Σαρβ. Γ. Ασθενής 50 ετών.
Μητρορραγία 2 χρόνια μετά την εμμηνόπαυση.
Kυτταρολογικό επίχρισμα από ενδο- και εκτοτράχηλο. Χρώση Cytocolor – Merck.
Διαγνωστική απόξεση μητρας και ιστολογικήγ εξεταση: Δεν ανευρέθησαν στοιχεία κακοήθειας,
Ενα κυτταρα διαμεσου στοιβάδας και δυο παραβασικά κύτταρα, Το ενα εξ αυτών με μορφολογία που θυμίζει αδενικό κύτταρο Μεγεθ. 10Χ40
Πλακώδη επιθηλιακα κύτταρα διαμέσου στοιβαδος, στο κέντρο παραβασικό κυτταρο, δδ αδενικό κυτταρο.. Μεγεθ. 10Χ40
Powered by Phoca Gallery

