Ιατρικές Εικόνές - Αδενικών κυτταρων στο Pap-test
Πηγή Πληροφορίας:
Δρ Παρμενίων Ζησόπουλος
Μαιευτήρας- Χειρούργος Γυναικολόγος
Χρυσοστόμου Σμύρνης 8, 4ος όροφος ,
Τηλ. : (2310) 279-272
Fax : (2310) 257-369 Τ.Κ. 54622,
www.gyn.gr
email: parmenio@otenet.gr
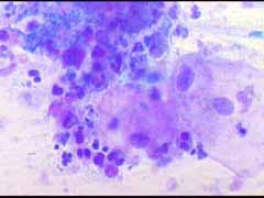
Ατυπα κύτταρα ενδοτραχήλου, άμεση χρώση με bleu de methylen 0,25% μεγεθ. 10Χ40. Αδενοκαρκίνωμα ενδοτραχήλου - ενδομητρίου
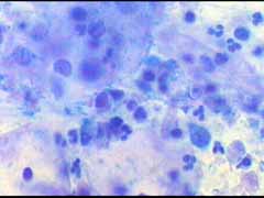
Ατυπα κύτταρα ενδοτραχήλου, άμεση χρώση με bleu de methylen 0,25% μεγεθ. 10Χ40. Αδενοκαρκίνωμα ενδοτραχήλου - ενδομητρίου
Ατυπα κύτταρα ενδοτραχήλου, αμεση χρώση με bleu de methylen 0,25% μεγεθ. 10Χ40. Αδενοκαρκίνωμα ενδοτραχήλου - ενδομητρίου
Ατυπα κύτταρα ενδοτραχήλου, αμεση χρώση με bleu de methylen 0,25% μεγεθ. 10Χ40. Αδενοκαρκίνωμα ενδοτραχήλου - ενδομητρίου
Ατυπα κύτταρα ενδοτραχήλου, άμεση χρώση με bleu de methylen 0,25% μεγεθ. 10Χ40. Αδενοκαρκίνωμα ενδοτραχήλου - ενδομητρίου
Powered by Phoca Gallery

