Ιατρικές Εικόνές - Aτυπα αδενικά κύτταρα. Ενα δυνητικό προβλημα ΙΙΙ
Πηγή Πληροφορίας:
Δρ Παρμενίων Ζησόπουλος
Μαιευτήρας- Χειρούργος Γυναικολόγος
Χρυσοστόμου Σμύρνης 8, 4ος όροφος ,
Τηλ. : (2310) 279-272
Fax : (2310) 257-369 Τ.Κ. 54622,
www.gyn.gr
email: parmenio@otenet.gr
Περιστατικό Β.
Ενδοτραχηλικά κύτταρα στο κυτταρολογικό επίχρισμα κατά Papanicolaou είναι συχνά αιτία διαγνωστικών επεμβάσεων.
Ασθενής Β.Π., ηλικίας 58 ετών, στην εμμηνόπαυση από 10ετίας.
Προληπτική εξέταση. Φυσιολογικά κολποσκοπικά ευρήματα. .
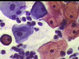
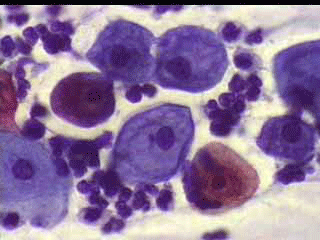
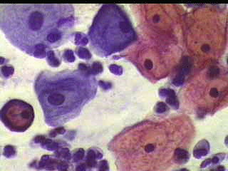
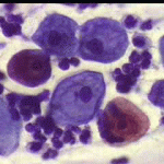
Κυτταρολογική εικόνα σχετικά καλής ανάπλασης επιθηλίου, με παρουσία κυττάρων κυρίως της επιφανειακής και διαμέσου στοιβάδας, καθώς και λίγα παραβασικά. Περιπυρηνική άλω, ( όχι τυπική κοιλοκυττάρωση) σε αρκετά διάμεσα και παραβασικά κύτταρα, καθώς και λίγα πολυμορφοπύρηνα.
ηλικά κύτταρα στο κυτταρολογικό επίχρισμα κατά
Ασθενής Β.Π., ηλικίας 58 ετών, στην εμμηνόπαυση από 10ετίας.
Προληπτική εξέταση. Φυσιολογικά κολποσκοπικά ευρήματα. .
Κυτταρολογική εικόνα σχετικά καλής ανάπλασης επιθηλίου, με παρουσία κυττάρων κυρίως της επιφανειακής και διαμέσου στοιβάδας, καθώς και λίγα παραβασικά. Περιπυρηνική άλω, ( όχι τυπική κοιλοκυττάρωση) σε αρκετά διάμεσα και παραβασικά κύτταρα, καθώς και λίγα πολυμορφοπύρηνα.
Ενδοτραχηλικά κύτταρα καθ΄ ομάδας, σε ένα οπτικό πεδίο εικόνα ‘’Acinus’’.. Τα ενδοτραχηλικά κύτταρα με αρραιοχρωματικούς, αλλά ελαφρά ανισομεγέθεις πυρήνες, ίσως φλεγμονώδους αιτιολογίας (;)
Για τους παραπάνω λόγους διενεργήθηκε το 2003 διαγνωστική απόξεση. Ιστολογικό πόρισμα: Ατροφικό ενδομήτριο.
Τελευταίος προληπτικός έλεγχος Φεβρουάριος. 2008. Όλα τα ευρήματα φυσιολογικά

