Ιατρικές Εικόνές - Κυτταρολογικές από παρακεντήσεις ευρημάτων καρκίνου του μαστου. ΙΙI
Πηγή Πληροφορίας:
Δρ Παρμενίων Ζησόπουλος
Μαιευτήρας- Χειρούργος Γυναικολόγος
Χρυσοστόμου Σμύρνης 8, 4ος όροφος ,
Τηλ. : (2310) 279-272
Fax : (2310) 257-369 Τ.Κ. 54622,
www.gyn.gr
email: parmenio@otenet.gr
Ασθενής Νακ. Θ. 56 ετών. Μαστεκτομή δεξιά τον Aπρ. 2000, μετά από δικό μας υπερηχογραφικό ευρημα σε προληπτική εξεταση. . Η τελευταία μαστογραφία Νοεμ 2008 στο Νοσοκομείο. Μετά την επέμβαση ,με βάση την ιστολογική εξέταση, δεν θεωρήθηκε καμία θεραπεία αναγκαία (τόσο από τον ειδικό Χειρουργό μαστού, όσο κι από τον Ογκολόγο )
THN EIΔA TON IANOYAPIO 2003 KAI HTAN OΛA EN TAΞEI.
ΜΑΙΟΣ 2003: ΠPO 4-5 HMEPΩN ΔIEΠIΣTΩΣE AΠO THN MIA MEPA ΣTHN AΛΛH EΆΦPΩΣ EΠΩΔYNO ΕΠAPMA, ΠEIPΠOY 3 ΔAKTYΛA ANΩ THΣ TOMHΣ. ΠPOΣHΛΘE ΓIA TON ΛOΓO AYTΌ.
ΠPAΓMATI, KAΠΩΣ ΚINHTO HΨΛAΦHTO KAI OPATO EΠAPMA, YΠPHXOΓPAΦIKΩΣ ME ΣAΦH ΠEPIXAPAKΩΣH. EΛIΨOEIΔEΣ, MEΓIΣTHΣ ΔIAMETPOY 8 XIΛ.
ΠPOEKEIMENOY NA ΔIAΠIΣTΩΘEI AN ΠPOKETAI ΓIA KYΣTH, ΠAPAKΈNTHΣH ΛEΠTHΣ BΛEONHΣ. ΠPOKETAI ΓIA ΣYMΠAΓH ΣXHMATIΣMO. ETΣΙ ΚΙ ΑΛΛΟΙΩΣ, ΠΡΕΠΕΙ Ν΄ ΑΦΑΙΡΕΘΕΊ.
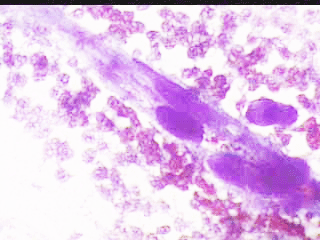
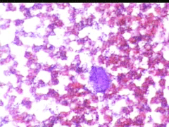
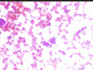
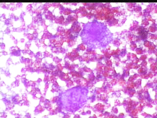
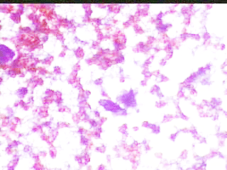
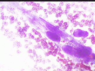
Το ελάχιστο υλικό, επιστρώνεται σε αντικειμενοφόρο πλάκα, στεγνώνει στον αέρα και βάφεται κατά Papanicolaou . Δείγμα από τις κυτταρολογικές εικόνες
Η ασθενής ξαναχειρουργήθηκε , ακτινοβολήθηκε και έκτοτε είναι σε Herseptin. Την είδα τον Δεκ. 2007. Η γενική, η γυναικολογική και η τοπική κατάσταση καλή.

