Ιατρικές Εικόνές - Άτυπα αδενικά κύτταρα στο κυτταρολογικό επίχρισμα του τραχήλου της μήτρας. Ενα δυνητικο πρόβλημα. ι
Πηγή Πληροφορίας:
Δρ Παρμενίων Ζησόπουλος
Μαιευτήρας- Χειρούργος Γυναικολόγος
Χρυσοστόμου Σμύρνης 8, 4ος όροφος ,
Τηλ. : (2310) 279-272
Fax : (2310) 257-369 Τ.Κ. 54622,
www.gyn.gr
email: parmenio@otenet.gr
Ασθενής 37 ετών. Τελευταία προληπτική εξέταση στο ιατρείο μας προ 5 ετών.
Προ 2μήνου προληπτική γυναικολογική εξέταση, κολποσκόπιση, διακολπικό υπερηχογράφημα και τεστ Παπανικολάου σε άλλο ιατρείο. . Τα ευρήματα απολύτως φυσιολογικά. Προσέρχεται , επειδή έχει την εντύπωση, ότι μετά από σχέσεις εμφανίζει ανεπαίσθητα ίχνη αίματος.. Προσδιορίζει το σύμπτωμα χρονικά με την λήψη του επιχρίσματος..
Κολποσκόπιση, γυν. εξέταση, υπέρηχο διακολπικώς κφ.
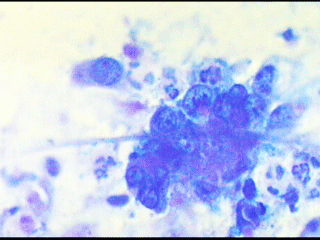
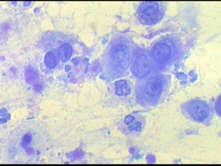
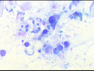
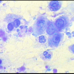
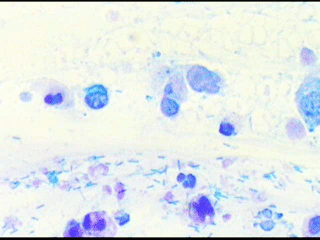
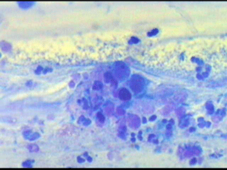
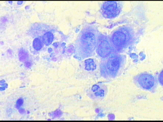
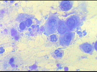
Κυτταρολογικό επίχρισμα που ελήφθη με συσκευή Pap-Cone. Άμεση χρώση με υδατικό διάλυμα 0,25% bleu de methylen.
Διαπιστώνεται πληθώρα κυρίως διογκωμένων, εν μέρει αρραιοχρωματικών ανισομεγέθων πυρήνων αδενικών κυττάρων ..
Κατόπιν αυτού, κλασματική διαγνωστική απόξεση: Ιστολογική εξεταση: Αδενοκαρκίνωμα ενδομητρίου με επέκταση στον τράχηλο της μήτρας. Ολικη υστερεκτομία μετά των εξαρτημάτων, κατά Wertheim. Δεν διαπιστώθηκανθετικοί λεμφαδένες..

