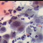
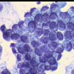
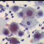
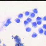
Ιατρικές Εικόνές - Ενδοτραχήλου κι ενδομητρίου στο επίχρισμα κατά Papanicolaou. Περιστατικά ιατρείου.
Πηγή Πληροφορίας:
Δρ Παρμενίων Ζησόπουλος
Μαιευτήρας- Χειρούργος Γυναικολόγος
Χρυσοστόμου Σμύρνης 8, 4ος όροφος ,
Τηλ. : (2310) 279-272
Fax : (2310) 257-369 Τ.Κ. 54622,
www.gyn.gr
email: parmenio@otenet.gr
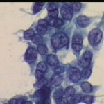
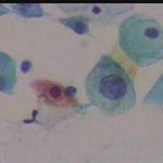
Εικονες φυσιολογικών και παθολογικών κυττάρων ενδοτραχήλου κι ενδομητρίου στο επίχρισμα κατά Papanicolaou. Περιστατικά ιατρείου. Παρατίθενται για τις ανάγκες επίδειξης περιστατικών στο forum του www.gyn.gr, για φοιτητές εργαστηριακών παραϊατρικών επαγγελμάτων και για καθε άλλο ενδιαφερόμενο.
Powered by Phoca Gallery

