Ιατρικές Εικόνές - Κυτταρολογικές από HPV
Πηγή Πληροφορίας:
Δρ Παρμενίων Ζησόπουλος
Μαιευτήρας- Χειρούργος Γυναικολόγος
Χρυσοστόμου Σμύρνης 8, 4ος όροφος ,
Τηλ. : (2310) 279-272
Fax : (2310) 257-369 Τ.Κ. 54622,
www.gyn.gr
email: parmenio@otenet.gr
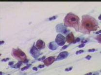
Κυτταρολογικές εικόνες προσβολής του τραχήλου της μήτρας από ιούς κονδυλωμάτων:
ασθενής 23 ετών, υποτροπές κολπίτιδος εναλλασσόμενης αιτιολογίας
Κυτταρολογικές εικόνες προσβολής του τραχήλου της μήτρας από ιούς κονδυλωμάτων: Ασθενής 23 ετών, υποτροπές κολπίτιδος εναλλασσόμενης αιτιολογίας (κολπίτις μικροβιακής αιτιολογίας, κολπίτις από Candida albicans). Τώρα: pH 5, Στο νωπό παρασκεύασμα αρραιή μικροβιακή χλωρίδα. Κολποσκοπικώς επίπεδο μωσαϊκό στο πρόσθιο χείλος. Κοιλοκυττάρωση σε επιφανειακά και διάμεσα κύτταρα. Στην μικροβιοψία τραχηλίτις, υπόνοια για HPV.

