Ιατρικές Εικόνές - Τυχαία κυτταρολογικά επιχριίματα κατά Papanicoloau, από ένα ιατρείο (ΙΙ)
Πηγή Πληροφορίας:
Δρ Παρμενίων Ζησόπουλος
Μαιευτήρας- Χειρούργος Γυναικολόγος
Χρυσοστόμου Σμύρνης 8, 4ος όροφος ,
Τηλ. : (2310) 279-272
Fax : (2310) 257-369 Τ.Κ. 54622,
www.gyn.gr
email: parmenio@otenet.gr
Το ενδιαφέρον του κλινικού γυναικολόγου στο πόρισμα του κυτταρολογικού επιχρίσματος του τραχήλου της μήτρας, περιορίζεται συνήθως στο συμπέρασμα του, σχετικά με την ύπαρξη κάποιας δυσπλασίας ή έστω φλεγμονής, στην περιοχή.Ωστόσο ακόμη και το λεγόμενο ‘’φυσιολογικό’’ επίχρισμα, μπορεί να μας δώσει μία επί πλέον αξιόλογη πληροφόρηση, αν τα ευρήματα του ενταχθούν σωστά από τον κλινικό γιατρό, τόσο στην χρονική συγκυρία, όσο και στο ιστορικό, ή στα κλινικά, κολποσκοπικά και υπερηχογραφικά ευρήματα.
Η γενικότερη γυναικολογική οπτική γωνία, στην ερμηνεία ενός κυτταρολογικού πορίσματος, είναι αρκετά σημαντική για την αξιολόγηση άλλων προβλημάτων, πέραν των δυσπλασιών.
Οι εικόνες και τα πορίσματα που επιδεικνύονται, είναι τυχαία ευρήματα ιατρείου.
Πιστεύω, ότι οι κυτταρολογικές εικόνες, φυσιολογικές και μή, με τις επεξηγήσεις από γυναικολογική σκοπιά, θα είναι χρήσιμες και σε φοιτητές σχολών παρασκευαστών κυτταρολογικών εργαστηρίων.
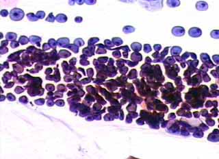
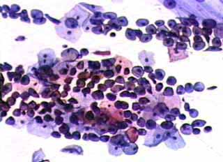
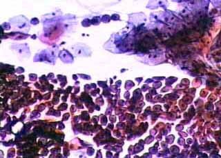
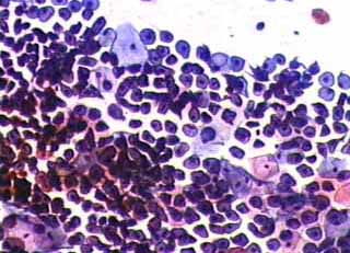
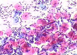
Αλεξ. Αλεξ. 57 ετών, στο ιστορικό 3 καισαρικές τομές, από 7ετίας στην εμμηνόπαυση. Ξηρότης κόλπου, δυσπαρεύνοια. Κατά τα αλλα, ασυμπτωματική.
Κολποσκοπικώς καλη επιθηλίωση τραχηλου, είκονα ατροφίας επιθηλιου, δοκιμασία lugol αρνητικη. Δοκιμασία οξικού οξέως δεν έγινε, επειδή σε γυναίκες με ατροφία επιθηλίου δημιουργεί άμεσα δυσάρεστη συμπτωματολογία. (εντονο αίσθημα καύσους, ενίοτε και πόνος στο υπογάστριο)
Papanicolaou: Τυπική εικόνα ατροφίας επιθηλιου, με παρουσία πληθωρας βασεοφίλων κυττάρων της παραβασικής και λιγώτερο της διαμέσου στιβάδος, με φυσιολογική δομή και την αναμενόμενη πολυμορφία της ατροφίας του επίθηλίου. Εντυπωσιάζουν οι σχετικά μικροί πυκνωτικοί πηρήνες με αλλαγή της σχεσης κυτταροπλασματος - πυρήνα, που σηματοδοτουν, ότι δεν προκειτια για κύτταρα με εξελικτική ικανότητα. Στο υπόστρωμα επισης κυτταρα της επιφανειακής στιβάδος.
Αρνητικό για κακοήθεια.
|
|
|
Ασθ. 57 ετών, αροφια επιθηλιου 1 |
|
|
|
Ασθ. 57 ετών , ατροφία επιθηλιου |
|
|
|
Ασθ. 57 ετών , ατροφία επιθ. 3 |
|
|
|
Ασθ. 57 ετών ατροφία επιθ. 4 |
Σχόλιο: Πρόκειται γία μία απο τις ΄΄φυσιολογικές΄΄ κυτταρολογικές εικόνες στην ηλικία αυτή.
Για το ενόχλημα χορηγήθηκε κάθε μήνα για 8 ημέρες, μικρή ποσότητα Premarin vag. Cream (περιπου 1 . εκ.,) στην είσοδο κόλπου.
Το ενόχλημα της δυσπαρεύνοιας υπεχώρησε αμέσως μετα την πρώτη εβδομάδα αγωγής.
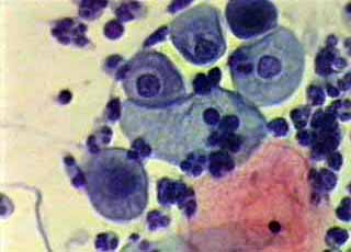
Aντων. Αικ. 43 ετων, ασυμπτωματικη, 8η ημερα κύκλου.
Ιαθείσα εκτοπία πολυτοκου διαμέτρου 25 χιλ. περίπου. PH 4,8 (όριακό). Στο νωπό παρασκέυ Κολποσκοπικώς: Δοκιμασία οξικού οξέως και lugol αρνητικές.
|
|
|
ασθ, 43 ετών, 8η ημέρα κυκλου |
Papanicolaou: Πλακώδη επιθηλιακά κύτταρα κυρίως της επιφανειακής στιβάδος, περίπου κατά 80% οξεόφιλα, φυσιολογικής μορφολογίας. Αρκετά πολυμορφοπύρηνα. Αρνητικό για κακοήθεια.
Σχόλιο: Εντυπωσιάζει η έντονη οξεοφιλία την 8η ημέρα κυκλου.
Αρκετά συχνή είκόνα στην ηλικία αυτή, ώστε να υποψιαστούμε την έναρξη κλιμακτηριακών ενοχλημάτων. Η γυναίκα, μετά από σχετική ερώτηση, αναφέρει εμφάνιση εξάψεων κατά την εμμηνορρυσία και λιγες ημέρες μετά από αυτήν.
Απατ.. Π.. 50 ετών. Εκτός από ελαφρό ενόχλημα ξηρότητος κόλπου, ασυμπτωματική. Από διετίας στην εμμηνόπαυση.
Κλινικως και κολποσκοπικώς κ.φ. pH 4,3 , στο νωπό παρασκεύασμα λιγα ψευδομυκητήλια. (ασυμπτωματικά).
Papanicoloau: Βασεόφιλα πλακώδη επιθηλιακά κύτταρα κυρίως της επιφανειακής στιβάδος, αρκετά της διαμέσου κα ι λίγα της παραβασικής. Γενική εικόνα menopausal crawdete type. Αρνητικό γιάο κακοήθεια. Για την συγκεκριμένηγ γυναίκα Κατηγορία 1
|
|
|
Ασθ. 50 ετών, menopausal crawdet type 1 |
|
|
|
Aσθ. 50 ετών, menopausal crawdet type 2 |
|
|
|
Aσθ. 50 τών, menopausal crawdet type 3 |
Σχόλιο : Επειδή υπάρχει καλή ανάπλαση επιθηλίου, το ενόχλημα στην σχέση αποδοθηκε στην παρουσία της candida albicans ( ψευδομυκητήλια).
Υπεχώρησε μετά την τοπική χορήγηση μυκτητοκτόνου σε μορφή κολπικής αλοιφής.
Αρν.Αθ, 55 ετών, από 3ετίας στην εμμηνόπαυση. Αρχικά αρκετές εξάψεις, που στο μεταξύ ελαχιστοποιήθηκαν. Προληπτική εξέταση.. pH κόλπου 5. Στο νωπό παρασκεύασμα κολπικού εκκρίματος μικροσκοπικώς αρραιή βακτ. χλωρίδα και Leptothrix vaginalis. (ασυμπτωματική)
Κολποσκοπικώς φτσιολογικά ευρήματα. Διενεργήθηκε μόνον δοκιμασία lugol , επειδή σε πιθανή ατροφία επιθηλίου η δοκιμασία οξικού οξέως προξενεί καμία φορά έντονα τοπικά ενοχλήματα.
|
|
|
Aρν. Ασθ.53 ετών, menopausal crawdet type 1 |
|
|
|
Aσθ. 53 ετών, menopausal crawdet type 2 |
Papanicolaou: Βασεόφιλα πλακώδη επιθηλιακά κύτταρα κυρίως της διαμέσου και λιγώτερο της παραβασικής , καθώς και σποραδικά της επιφανειακής στιβάδας. Λίγα πολυμορφοπύρηνα. Leptothrix vaginalis. Αρνητικό για κακοήθεια. Γενική είκόνα menopausal crawdet type, τάση ατροφίας επιθηλίου. Για την συγκεκριμένη γυναίκα φυσιολογικά ευρήματα.
|
|
|
Ασθ. 53 ετών, Leptothrix vaginalis, menopausal crawdet type 3 |
Σχόλιο: Η ασυμπτωματική διαταραχή της κολπικής χλωρίδας, αποδίδεται στην μικρού βαθμού ατροφία του κολπικού επιθηλίου και δεν συνιοστάται θεραπεία.
Α. Ολγα, 36 ετών, ασυμπτωματική, προληπτική εξέταση. Προ 10μέρου λήψη αντιβιωτικών για οδοντιατρικό πρόβλημα . Σήμερα 10η ημέρα κυκλου, ωοθλάκιο διαμετρου 17 χιλ. pH κόλπου 6, στο άμεσο νωπό παρασκεύσμα κολπικού εκκρίματος, μικροσκοπικώς αρραιή βακτ. χλωρίδα.
Κολποσκοπικως: Καλως περιχαρακωμένο εκτροπιο ακτίνας περίπου 1 εκ.
|
|
|
|
Papanicoloau: Πλακώδη επιθηλιακά κύτταρα κυρίως της επφ. στιβάδας, περίπου κατά 60-70% οξεόφιλα, λίγα της διαμέσου και σποραδικώς της παραβασικής. Λιγα πολυμορφοπύρηνα. Καθαρό υπόστρωμα. Η φυσιολόγική χλωρίδα λείπει. Αρραιή κοκκοχλωρίδα. Αρνητικό για κακοήθεια. Κατηγορια 1
Σχόλιο: Η ασυμπτωματική διαταραχή της κολπικής χλωρίδας αποδίδεται στην πρόσφατη χρήση αντιβιωτικών, που εξαφάνισε την χλωρίδα Doederlein. Επίσης η σχετικά υψηλού βαθμού οξεοφιλία ίσως μερικώς να οφείλεται στην αλλαγή του pH και της κολπικής χλωρίδας, αλλά και χωρίς αυτήν, γενικώς αναμένεται προς το μέσον του κύκλου.
Δεν συστήθηκε θεραπεία της διαταραχής της κολπικής χλωρίδας, που αποδόθηκε στην προηγηθείσα αντιβίωση, επειδή οι καταστασέις αυτές ανατάσσονται σύντομα από μόνες τους.
Αθ. Τ., 39 ετών. Κύκλος τακτικός. Προ 3ετίας κωνοειδής εκτομή λόγω CIN III. Προ 3μήνου Papanicolaou II-III . Ευρήματα σήμερα, 15η ημέρα κυκλου, μετά από θεραπεία κολπίτιδος (Γερμανία).
pH κόλπου 4,3, στο άμεσο νωπό παρασκεύασμα του κολπικού εκκρίματος μικροσκοπικώς μόνον φυσιολογική χλωρίδα Doederlein.
Κολποσκοπικώς: Καλή περιχαράκωση ζώνης μετάπτωσης, δοκιμασίες οξικού οξέως και lugol αρνητικές.
Υπερηχογραφικώς: Ενδομήτριο παχους 13 χιλ. Στην δεξιά ωοθήκη προφανέστατα ωχρό σωμάτιο διαμετρου 20χιλ.
|
|
|
39 ετών, 15η ημερα κύκλου |
Papanicolaou: Πλακώδη επιθηλίακά κύτταρα , σχεδόν αποκλειστικώς της επιφανειακής στιβάδος, με οξεοφιλία περίπου 70-80%. Αρχόμενες αναδιπλώσεις περιφερείας κυτταροπλάσματος, αρχόμενη ομαδοποίηση κυτταρων. Λιγα πολυμορφοπύρηνα. Καθαρό υπόστρωμα. Αρνητικό για κακοήθεια. Κατηγορια 1
Σχόλιο: Κυττταρολογικό επίχρισμα που συνηγορεί για υψηλή οιστρογονική επίδραση στην αρχή της β΄φάσεως κύκλου. (ιδε και ευρήματα ωοθήκης – ενδομητρίου).
Αρκετά συχνό εύρημα σε γυναίκες γύρω στα 40. ¨Πιθανώς σηματοδοτεί την έναρξη ορμονικών αλλαγών.
Χαρ Σ, 55 ετών, εδω και 9 χρόνια στην εμμηνόπαυση. Προ 13 ετών κωνοειδής εκτομή λογω CIN III, που αφαιρέθηκε εντος του υγιούς. Λόγω δυσπαρεύνοιας χρησιμοποιεί περιστασικά, σε διαστήματα μηνών, για 8 συνεχόμενες ημέρες περίπου 1 εκ. αλοιφής Premarin, στην είσοδο κόλπου. Τελευταία χρήση προ μηνός και πλέον. pH κολπου 5,3, στο ελάχιστο κολπικό έκκριμα – νωπό παρακεύασμα – μικροσκοπικώς ανάμεσα σε κυτταρικά στοιχεία βασικής και παραβασικής στοιβάδος αρραιή βακτ. χλωρίδα.
Κολποσκοπικώς: (μόνον δοκιμασία lugol, επειδή όγω ατροφίας επιθηλίου η δοκιμασία οξικού οξέως της προξενεί προβλήματα ). Στο ανω χείλος αρνητική περιοχή σε εκταση περίπου 0,5 εκ., χωρίς εικόνα μωσαϊκού. Παλαιό αναλλοίωτο έυρημα, γνωστό από την α΄εξέταση (προ 3ετίας ) σε μας.
|
|
|
Εμμηνόπαυση, ατροφία επιθλίου 1 |
|
|
|
Εμμηνόπαυση, ατροφία επιθηλίου 2 |
|
|
|
Εμμηνόπαυση, ατροφία επιθηλίου 3 |
Papanicolaou: Βασεοφιλα πλακώδη επιθηλιακά κύτταρα της βασικήςκαι παραβασικής στιβάδος, με φυσιολογική δομή και την αναμενόμενη πολυμορφία της ατροφίας του επιθηλίου. Λιγα πολυμορφοπύρηνα. Σε σύγκριση με το προ έτους επίχρισμα, διαπιστώνεται βελτίωση της εικόνας ατροφίας του επιθηλίου.
Αρνητικό για κακοήθεια. Φυσιολογικό.
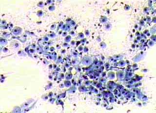
Ασθενής 26 ετών (Χατζ. Σταμ.). Εκκιρμα μαστού. Γαλακτόρροια,
|
|
|
Εκκρινα μαστού (αφρώδες κύτταρο) |
Papanicolaou από έκκριμα μαστού: Αφρώδη κύτταρα. Καλόηθες εύρημα.
Χριστ. Μ, 55 ετών, απο διετίας στην εμμηνόπαυση. Ασυμπτωματική.
PH κόλπου 5,3, στο νωπό παρασκεύασμα η φυσιολογική χλωρίδα λείπει. Αρραιή βακτ. χλωρίδα.. Κολποσκλοπικώς κφ.
|
|
|
55 ετών, εμμηνόπαυση, εκφυλιστική αλλοίωση |
|
|
|
55 ετών , mneopausal crawdet type |
|
|
|
55 ετών, menopausal crawdet type |
Papanicolaou: Βασεόφιλα πλακώδη επιθηλιακά κύτταρα κυτρίως της διαμέσου και λιγώτερο της παραβασικής στοιβάδος. Σπάνια κύτταρα με εκφυλιστικές αλλοιώσεις (οξεοφιλία, τοπική απώλεια χρωστικής κυτταροπλάσματος). Λίγα πολυμορφοπύρηνα. Αρνητικό για κακοήθεια. Φυσιολογικό, συμβατό με την ηλικία.(Menopausal crawdet type).
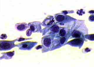
Δημ. Κριτζ. Μ. 29 ετών. Γνωστός έρπης γεννητικών οργάνωnν στον σύντροφο. Προ 5μηνου ερπητικές αλλοιώσεις στο επίχρισμα.
Τώρα: pH 4,6 . Από αλλοτε γνωστό εκτρόπιο πλατους 3 χιλ στο προσθιο χειλος. Δοκιμασία οξικού οξέως – Lugol αρνητική. Στο νωπό παρασκεύασμα κολπικού εκκριματος, εκτός από αρραιή φυσιολογικη χλωρίδα Doederlein (11η ημέρα κύκλου), λιγα ασυμπτωματικά ψευδομυκητήλια.
|
|
|
29 ετών, γνωστός έρπης τραχηλου στο παρελθον. |
|
|
|
29 ετών, κυτταρα ενδοτραχηλου - μεταπλασίας |
|
|
|
29 ετών, κύτταρα ενδοτραχηλου, ατρακτοειδές κυτταρο |
Papanicolaou: Πλακώδη επιθηλιακά κύτταα κυρίως της επιφανειακής στιβάδος , λιγα της διαμεσου και λιγα της παραβασικής. Σε μερικά οπτικά πεδία κυτταρα ενδοτραχηλου με κάπως διoγκωμένους αρραιοχρωματικούς πυρηνες και ομαδες κυττάρων μεταπλασίας. Λιγα πολυμορφοπύρηνα. Καθαρό υπόστρωμα.
Σε 1 οπτικό πεδίο εικονα ατρακτοειδους κυτταρου της επιφ. στιβάδας , με 2 πυρήνες. Αρνητικό για κακοηθεια. Συνηγορεί για επουλωτικές διασικασίες στην ζώνη μετάπτωσης.
Οι εικονες ειναι του 2002. Η ασθενής ειναι μεχρι το 2008 στην παρακολούθηση μας
Λεξεις κλειδιά: κυτταρολογία, κυτταρολογικό επίχρισμα, Papanicolaou - test, Pap - test, τεστ Παπανικολάου, Παπ - τεστ.

























