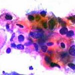
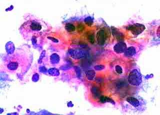
Ιατρικές Εικόνές - Δυσπλασίες τραχήλου μήτρας σοβαρού βαθμού (CIN III)
Πηγή Πληροφορίας:
Δρ Παρμενίων Ζησόπουλος
Μαιευτήρας- Χειρούργος Γυναικολόγος
Χρυσοστόμου Σμύρνης 8, 4ος όροφος ,
Τηλ. : (2310) 279-272
Fax : (2310) 257-369 Τ.Κ. 54622,
www.gyn.gr
email: parmenio@otenet.gr
Ασυμπτωματική ασθενής 39 ετών. PH κόλπου 4,4. Κολποσκόπιση:
Στην δοκιμασία οξικού οξέως και στην δοκιμασία Lugol, αρνητική περιοχή, τόσο στο πρόσθιο, όσο και στο οπίσθιο χείλος του τραχήλου, σε ακτίνα 3-4 χιλ. και πλάτος περίπου 5 χιλ., με εικόνα διακριτικού επίπεδου μωσαϊκού.
Powered by Phoca Gallery

