Ιατρικές Εικόνές - Γιγαντιοκυττάρωσης στο κυτταρολογικό επίχρισμα
Πηγή Πληροφορίας:
Δρ Παρμενίων Ζησόπουλος
Μαιευτήρας- Χειρούργος Γυναικολόγος
Χρυσοστόμου Σμύρνης 8, 4ος όροφος ,
Τηλ. : (2310) 279-272
Fax : (2310) 257-369 Τ.Κ. 54622,
www.gyn.gr
email: parmenio@otenet.gr
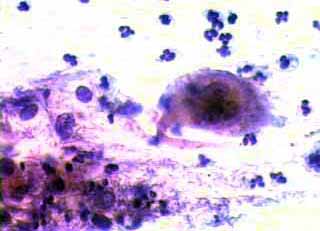
Η εμφάνιση γιγαντιοκυττάρων κυρίως της επί πολλής και της διαμέσου στιβάδος με χαρακτηριστικές εκφυλιστικές αλλοιώσεις του κυτταροπλάσματος και του πυρήνα, στο κυτταρολογικό επίχρισμα κατά Papanicolaou, απαντάται στον έρπητα του τραχήλου της μήτρας..
Εικόνες γιγνατιοκυττάρων με πολλαπλούς πυρήνες συναντούμε επίσης και σε περιπτώσεις εκσεσημασμένης ατροφίας του κολπικού επιθηλιου. Εδώ όμως δεν πρόκειται για γνήσια γιγαντιοκυττάρωση, αλλά για έκφραση εκφυλιστικής αλλοίωσης, που συνίσταται στην σύντηξη περισσοτέρων κυττάρων.
Επίσης, σποραδική εμφάνιση γιγαντιοκυττάρων διαπιστώνουμε και σε επιχρίσματα με εικόνα καλής οιστρογονικής επίδρασης, με πυκνωτικούς πυρήνες, χωρίς άλλη μορφολογική διαταραχή. Την γιγαντιοκυτταρωση αυτού του τύπου θα την συνατήσουμε σε επιχρίσματα γύρω στο μεσοκύκλειο, ή σε επιχρίσματα κλιμακτηριακών γυναικών, με υψηλό ποσοστό οξεοφιλίας. Η εμφάνιση τους δεν εντάσσεται σε καποια ειδική αιτία. Πιθανώς να είναι έκφραση καποιας ιογενούς συμμετοχής.

