Ιατρικές Εικόνές - Κυτταρολογικές ερπητος τραχηλου μητρας ΙΙ
Πηγή Πληροφορίας:
Δρ Παρμενίων Ζησόπουλος
Μαιευτήρας- Χειρούργος Γυναικολόγος
Χρυσοστόμου Σμύρνης 8, 4ος όροφος ,
Τηλ. : (2310) 279-272
Fax : (2310) 257-369 Τ.Κ. 54622,
www.gyn.gr
email: parmenio@otenet.gr
Η κυτταρολογικές εικόνες του έρπητα του τραχήλου της μήτρας, παρουσιάζουν πάντοτε ενδιαφέρον, επειδή οι αλλοιώσεις που προκαλεί είναι πολλαπλές και μπορεί να προβληματίσουν τον εξεταστή.
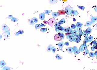
Ασυμπτωματική σθενής 23 ετών. Κολποσκοπικως κφ. Δοκιμασίες οξικου οξέως και lugol αρνητικές. Ακολουθούν εικόνες του έτους 2000: Kύτταρα κυρίως της επιφ. καi διαμέσου στιβάδος, κάπως μικρότερα απ' ότι συνηθως, με αρραιοχρωματικους φυσαλιδοειδείς πυρήνες . Πολλά απο αυτά με διακριτική κοιλοκυττάρωση και εκφυλυστικές αλλοιώσεις του πυρήνα. Επίσης αρκετά γιγαντιοκύτταρα και εκφυλιστικές αλλοιώσεις πυρήνων με διάλυση και εν μέρει ομοιογενοποίηση της χρωματίνης, που δίνουν την εικόνα θολού γιαλιού. (Mattglasphaenomen). Aρραιή βακτ. χλωριδα. Λιγα πολυμορφοπύρηνα. Aρνητικό για κακοήθεια. Aλλοιώσεις που συνηγορούν για HSV.
Οι αλλοιώσεις συνέχισαν να υπάρχουν 3 και 6 μήνες αργότερα. Μετά επί 18 μήνες και μέχρι σήμερα (Οκτ. 2002), τα επιχρίσματα που πήραμε ανα 6μηνο, ήταν τελείως φυσιολογικά.

